Somos un Centro Imagenológico Maxilofacial especializado en el diagnóstico dental con tecnología de última generación.

RESERVA UNA CITA
Clarity - Nosotros

Nosotros

El diagnóstico es la base de todo tratamiento odontológico y para mayor precisión es fundamental que vaya acompañado de exámenes imagenológicos. Hoy en día, existen muchos tipos de rayos X y otros métodos de imágenes disponibles que pueden usarse para detectar enfermedades y anomalías bucales como cáncer bucal, caries, estructuras dentales ocultas y pérdida ósea.

Es por eso que El Centro Imagenológico Maxilofacial Clarity cuenta con el equipamiento de la más alta tecnología y profesionales especialistas en radiología que ofrecen servicios precisos y con la mejor calidad.

Nosotros - Clarity
Clarity - Nosotros Clarity - Nosotros
Clarity - Servicios Clarity - Servicios Clarity - Servicios

SERVICIOS

RADIOGRAFÍAS

Contamos con las siguientes radiografías:

  • Radiografía Panorámica.
  • Radiografía Cefalométrica Lateral.
  • Radiografía ATM: Boca Cerrada / Boca Abierta.
  • Radiografía Senos Paranasales.
  • Radiografía Senos Maxilares (Waters).
  • Radiografía Carpal.
  • Radiografía Inversa de Towne.
  • Radiografía Postero - Anterior (frontal).

TOMOGRAFÍAS

Contamos con las siguientes tomografías:

  • Tomografía de Maxilar Superior.
  • Tomografía de Maxilar Inferior.
  • Tomografía de ambos Maxilares.
  • Tomografía de ATM: Boca Cerrada / Boca Abierta.
  • Tomografía Maxilofacial.
  • Tomografía de Pieza Dentaria.

ESCANEO INTRAORAL

Con nuestro escáner de la marca 3Shape captura impresiones directamente sobre la dentadura obteniendo una imagen en 3D, eliminando el sistema tradicional de impresiones físicas realizadas con alginato.

IMPRESIONES 3D

Modelos dentales en un tiempo más corto y con mayor precisión, lo que beneficia tanto a los pacientes como a los profesionales.

GUÍAS QUIRÚRGICAS

Nuestras guías quirúrgicas están elaboradas con la mejor tecnología que ofrece el mercado:

  • Tomografía 3D con equipos de la marca Planmeca.
  • Impresión en resina biocompatible.

Planificamos todos nuestros casos con la máxima precisión y comunicación con cada doctor.

FOTOGRAFÍAS EXTRAORALES E INTRAORALES

Es una de las herramientas indispensables para la documentación y comunicación científica. El registro de evidencia fotográfica es un instrumento necesario para brindar una atención de alta calidad y apoyar un diagnóstico.

ANÁLISIS CEFALOMÉTRICOS

Nuestros especialistas hacen uso de sistemas de radiología digital de última generación para proporcionarle análisis de ortodoncia y cefalometría de la más alta calidad. Contamos con más de 30 análisis cefalométricos.

PAQUETE ORTODÓNTICO

Incluye: 02 Radiografías (panorámica y cefalométrica), fotografías extraorales, informe cefalométrico del análisis que se solicite (hasta 03 análisis).

PAQUETE ORTODÓNTICO 3D

Incluye: 02 radiografías (panorámica y cefalométrica), fotografías extraorales e intraorales (17 fotos), informe cefalométrico del análisis que se solicite (hasta 03 análisis), escaneo intraoral e impresión 3D.

ENCERADO DIGITAL

Una excelente forma de planificar la sonrisa de sus pacientes. A partir del encerado podemos crear prototipo mock up, provisionales, guías para carillas, guías quirúrgicas entre otros procedimientos más.

Clarity - Nosotros

Nuestros casos

Radiopacas intraósea

Presencia de 3 imágenes radiopacas intraósea de densidad dentaria compatible con odontomas compuestos proyectados.

  • 2 en zona de pieza 11
  • 1 en zona de pieza 43
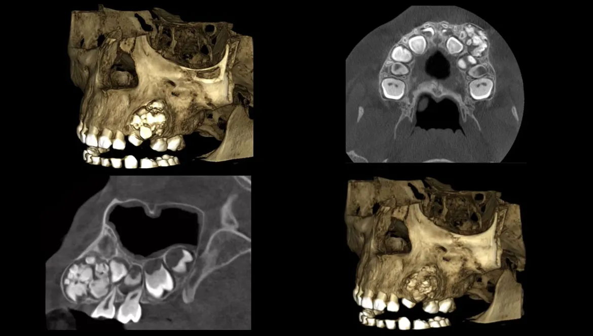
Odontoma Compuesto

Imagen hiperdensa localizada en el maxilar superior izquierdo, ocasionando el desplazamiento de la tabla ósea bucal y desplazamiento palatino de la pieza 2.4.

DEFECTO DE STAFNE

Escaneo de maxilar superior e inferior indicado para tratamiento de ortodoncia.

GALERIA

Nuestra galería de fotos de todo lo que encontrarás en Eurocafé.

Clarity - Nosotros Clarity - Nosotros

ORDEN RADIOGRÁFICA

Descarga desde aquí tu orden de servicio para imprimir.

ORDEN RADIOGRÁFICA Descargar Orden

© Copyright. Todos los derechos reservados 2024

Diseñado y desarrollado por Meraki Software